Sovesyke
Afrikansk trypanosomiasis
Årsak
Sovesyke, eller human afrikansk trypanosomiasis, skyldes blodbårne parasitter av slekten Trypanosoma som overføres ved bitt fra tsetsefluer. Det er 2 former av sykdommen med ulik utbredelse, sykdomsforløp og klinikk, nemlig østafrikansk sovesyke som skyldes Trypanosoma brucei rhodesiense og vestafrikansk sovesyke som skyldes Trypanosoma brucei gambiense. Begge formene av sykdommen har et tidlig stadium med parasitter i blodet og vil, uten behandling, gå over til et senstadium med der parasittene går inn i sentralnervesystemet og gir betennelse hjernen og hjernehinnene. Sykdommen er tilnærmet 100% dødelig uten behandling, men med god behandling kan de aller fleste bli frisk.
Livssyklus
Parasitten overføres av tsetsefluer av slekten Glossina, som finnes i store deler av Afrika fra Sahara til Kalahari. Ved vestafrikansk sovesyke, overfører fluen parasitten hovedsakelig fra menneske til menneske. Østafrikansk sovesyke er en zoonose som vedlikeholdes i naturen der fluen overfører parasitten mellom både ville dyr (antiloper) og husdyr (kveg), men mennesker kan bli syk om de blir bitt.
Utbredelse
Siden 1960 tallet var det en stor økning i antall tilfeller av afrikansk sovesyke, som sammenfalt med en periode med svakt helsevesen i mange afrikanske land. Rundt årtusenskiftet nådde epidemien en topp med anslagsvis 400 000 tilfeller årlig. Siden den tid har økt kontrollaktivitet og bedre medisiner ført til kraftig reduksjon av forekomsten til under 1000 rapporterte tilfeller årlig (dog med sannsynlig store mørketall). Vestafrikansk sovesyke utgjør 98% av tilfellene og forekommer hovedsakelig i den demokratiske republikken Kongo (70%), Sør-Sudan, Uganda og den Sentralafrikanske republikken. Østafrikansk sovesyke er sjeldnere med flest tilfeller i Uganda, Malawi, Tanzania og Zambia. Det er 65 millioner mennesker i 36 afrikanske land som bor i områder med risiko for å bli smittet, og dermed stor risiko for oppblomstring av epidemier om kontrolltiltak svekkes. Siden årtusenskiftet har det vært 2 kjente tilfeller i Norge, begge med østafrikansk sovesyke etter safari.
Symptomer og tegn
Tsetsefluens bitt er oftest smertefullt som et kleggbitt. Etter noen dager kan man på bittstedet få en smertefull, kløende hevelse, en «sjanker», som varer i 1-2 uker.
Ved østafrikansk sovesyke får man dager eller få uker senere febersykdom med uregelmessige febertopper, sykdomsfølelse, muskelvondt og dårlig matlyst, som samsvarer med at parasittene formerer seg i blodet. Noen blir kritisk syk allerede i denne fasen med gulsott/leverskade, betennelse i hjertemuskel og svikt i flere livsviktige organer. Etter 3 uker til 2 måneder går parasittene over til sentralnervesystemet og kan gi hodepine, nakkestivhet, atferdsendring, forvirring, redusert bevissthet og koma. Uten behandling dør pasienten innen 6 måneder etter smitte.
Vestafrikansk sovesyke er en lavgradig og kronisk infeksjon. Det kan gå fra måneder til flere år fra smitte til man blir syk med feber, hodepine, muskel- og leddsmerter, og varierende grad av blodmangel, kløe, utslett, hevelser i kroppen og forstørret lever og milt. Forstørrede lymfekjertler på halsen er vanlig. Etter måneder og år, når parasitten går inn i hjernen, kan pasientene få søvnforstyrrelser, personlighetsendring, psykiatriske og nevrologiske symptomer, og etter hvert redusert bevissthetsnivå. Ubehandlet dør pasienten oftest av sekundærinfeksjon, aspirasjon og underernæring.
De to sykdomsformene er altså svært forskjellig. Østafrikansk sovesyke er en aggressiv febersykdom som kan ligne på malaria, tyfoidfeber, hjernehinnebetennelse og blodforgiftning, mens vestafrikansk sovesyke utvikler seg sakte og ligner på kroniske infeksjoner som tuberkulose og HIV med opportunistiske infeksjoner, og har nevropsykiatriske plager som kan føre til feildiagnostisering som psykiatrisk sykdom.
Utredning
Vanlige blodprøver viser blodmangel, lave nivåer av blodplater, hvite blodceller og albumin, og påfallende høyt nivå av gammaglobulin IgM.
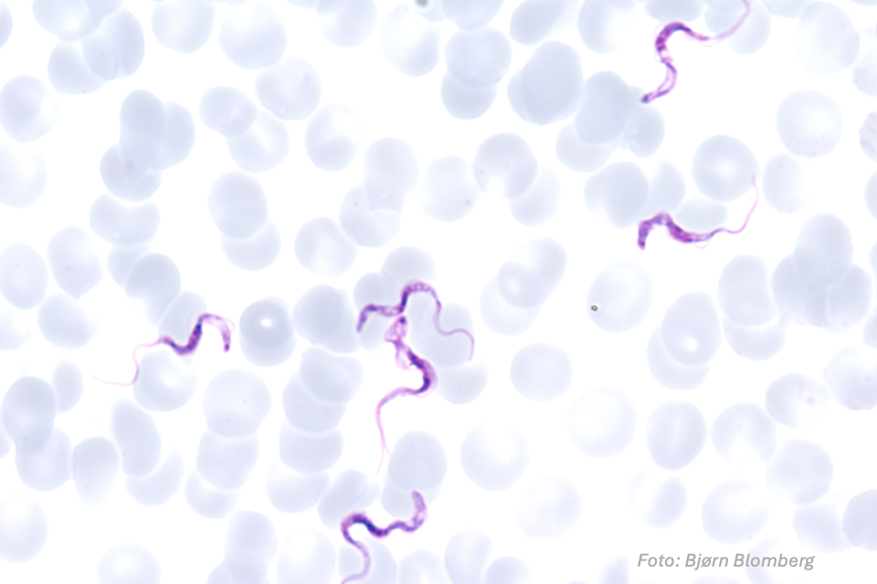
Ved østafrikansk sovesyke er det som regel mange parasitter i blodet, og senere i spinalvæsken, og parasittene kan lett sees i mikroskopet. Ved direkte mikroskopi av en dråpe ufarget blod med objektglass over kan man se livlig svømmende parasitter. I Giemsa-farget blodutstryk ser man parasittene tydelig (se figur).

Ved vestafrikansk sovesyke er det mindre parasitter i blodet, og blodutstryk er mindre nyttig. Man kan stille diagnosen ved å mikroskopere væske aspirert fra lymfeknuter eller spinalvæske. Man kan gjøre screening for vestafrikansk sovesyke ved å undersøke blod med CATT-test (card agglutination test for trypanosomiasis) eller hurtigtester.
Mikroskopi av spinalvæske bør gjøres, men først 3 dager etter oppstart behandling for å hindre at man drar med parasitter over til sentralnervesystemet. Infeksjon i sentralnervesystemet er sannsynlig dersom man har økt antall hvite blodceller i spinalvæsken (>5/µL) og sikkert dersom man ser parasitter i spinalvæsken.
PCR finnes ved referanselaboratorier (Tropemedisinsk institutt i Antwerpen) og kan bekrefte diagnosen og skille mellom øst- og vestafrikansk form.
Behandling og forebygging
Behandling av sovesyke er komplisert og bør ledes av erfaren infeksjonsmedisiner. Tidligere ble sovesyke behandlet med svært toksiske intravenøse medisiner, inkludert arsenikklignende melarsoprol. Siste årene har det vært en revolusjon i behandlingen med utvikling av nye og bedre medisiner, og førstevalg for både øst- og vestafrikansk sovesyke er nå en 10-dagers kur med feksinidazol tabletter (3 tabletter a 600mg 1 gang daglig i 4 dager, deretter 2 tabletter daglig i 6 dager). Andre medisiner brukes i spesielle tilfeller; ved vestafrikansk sovesyke med høyt celletall i spinalvæske (>100/µL) brukes nifurtimox-eflornithin kombinasjonsbehandling. Ved østafrikansk sovesyke hos barn (<6år, <20kg kroppsvekt) brukes suramin for tidlig stadium og melarsoprol ved infeksjon i sentralnervesystemet. En ny peroral engangsdosert behandling med acoziberol er under utvikling, men ikke tatt i rutinemessig bruk.
Etter endt behandling, bør pasienter følges opp i minst 1 år, og, dersom infeksjon i sentralnervesystemet gjøres halvårlige spinalpunksjoner i 2 år.
Forebygging
Når man beveger seg i område med mye tsetsefluer bør man unngå sterke farger på klærne, særlig kontrast mellom blå og hvit, og heller bruke nøytrale farger (for eksempel kaki). Myggspray hjelper ikke mot tsetsefluer og fluene kan også bite gjennom tynt stoff.
Siden vestafrikansk sovesyke hovedsakelig spres fra menneske til menneske via tsetsefluen, skulle god diagnostisering og behandling av syke mennesker på sikt kunne utrydde sykdommen.
Østafrikansk sovesyke opprettholdes hovedsakelig som en zoonose i en syklus mellom dyr og er derfor vanskeligere å utrydde. For å hindre smitte bruker man i Øst-Afrika insektmiddelimpregnerte feller i tøystoff med hvit og mørkeblå farge som tiltrekker seg fluene.
Bjørn Blomberg og Kristine Mørch, opdatert 24.01.2025